Introduction
The prospect of replacing missing teeth with traditional removable dentures may seem a little off-putting to a lot of individuals. If you are skeptical to opt for traditional dentures or if you’re unhappy with your current dentures, here’s a solution for you – full mouth implants. This treatment involves rehabilitation of the upper or lower jaw with straight six dental implants.
So before we move on, we would like to acquaint you with a few more dental terminologies that we will frequently encounter in the course of this discussion. Do scroll back up to revise the meaning of these frequently used dental terms.
GLOSSARY OF FREQUENTLY USED DENTAL TERMINOLOGIES:
| Dental Term | Meaning |
|---|---|
Maxilla | The jaw or jawbone, specifically the upper jaw in most vertebrates. In humans it also forms part of the nose and eye socket. |
Mandible | The jaw or jawbone, specifically in the lower part of the face in most mammals is called the mandible. |
Dental Implant | The dental implant is a surgical component, shaped like the root of a natural tooth, that is placed within the bone of the maxilla or mandible to support an artificial tooth like restoration. |
Abutment | The dental implant abutment is that part of the fixture that connects the artificial crown to the underlying dental implant. |
Osseointegration | The process of the bone intimately adapting to the surface of the dental implant, securing it to the bone is called osseointegration. This procedure may take anywhere between 3-6 months for completion. |
Prosthesis | An artificial replacement of a missing natural body part, which in our case is the tooth. |
Provisional Restoration | The artificial restoration that is placed temporarily till healing completes or the final restoration is ready is called the provisional or temporary restoration. |
Occlusion | Defined simply, occlusion is the science of contact of the surfaces of teeth in different situations, eg while biting, while chewing, while talking, swallowing, etc. |
Bone resorption | The physiological, sometimes pathological process of decrease in the height, width and volume of bone due to various factors like age, disease, medication etc. |
Immediate Loading | An artificial replacement of a missing natural body part, which in our case is the tooth. |
Provisional Restoration | The process of placement of prosthesis immediately after the implant surgery to assist in esthetics, function, rehabilitation and recovery. |
Denture Conversion | The process of using a premade denture for immediate loading after the completion of surgery. |
OVERVIEW:
Replacing multiple missing teeth can be a daunting task for both the patient and the clinician. However, with the advent of treatment concepts like full mouth rehabilitation with dental implants, the procedure has become more predictable. With dental implants simplifying the process of teeth replacement, it is possible to reconstruct your entire set of teeth with as little as six implants in a jaw. The process involves placement of six dental implants in maxilla or mandible and then fabricating an implant-supported prosthesis by taking supported from these implants.

WHY OPT FOR FULL MOUTH IMPLANTS?
Multiple missing teeth can be replaced with two type of prostheses – removable dentures or fixed prosthesis. While removable dentures get the job done, they also come with an array of negative effects. For instance, the bite force is drastically reduced from 200 psi to 50 psi which in turn decreases the chewing efficiency. A reduced chewing efficiency also affects the food selection and food intake, thus influencing the overall health of the individual. Removable dentures are also associated with speech difficulties and psychological issues.
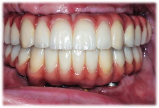
The other treatment option is to replace your missing teeth with a fixed prosthesis. This is done with the help of dental implants, which are strongly anchored on to your jaws. The resultant prosthesis, known as implant supported prosthesis, derives support from the anchored dental implants. The implant supported prosthesis offers several advantages over the traditional dentures – from improvement in mastication to an overall improvement in health, making them the more superior treatment regimen.

BENEFITS OF FULL MOUTH DENTAL IMPLANTS:
1. PATIENT COMFORT
Implant supported prosthesis is more stable and retentive compared to the removable dentures. The prosthesis size is also smaller, which makes them more comfortable to use.

2. BETTER CHEWING EFFICIENCY:
Full mouth implants provide a biting strength similar to that of natural teeth. Also, recent studies suggest that dental implants have the capability of sensing various textures of food (osseoperception), unlike artificial denture teeth.
3. PREVENTS FURTHER BONE LOSS:
Dental implants can preserve the surrounding bone, preventing further bone loss.
4. IMPROVED ESTHETICS:
Implant prostheses provide excellent support to the lips and cheeks, thus enhancing the patient’s appearance. They also maintain the muscle tone.
5. IMPROVED SPEECH AND PSYCHOLOGICAL HEALTH:
Various studies have suggested that patients treated with implant-supported prostheses judge their overall psychological health as improved by 80% compared with their previous state while wearing traditional, removable prosthetic devices. They perceived the implant supported denture as an integral part of their body.
STEPS IN THE PROCEDURE:
The phases in the procedure can be simply explained with the following flow chart:

A thorough evaluation of the existing oral conditions and the patient’s systemic health is carried out initially. The clinician makes a note of various aspects like the space available for teeth replacement, the quality of bone and tissues, lip support etc. This is followed by the formulation of a comprehensive treatment plan that determines the dimensions of the implants and regions where they ought to be placed with the help of CBCT images.
The surgical phase entails the following:
SURGICAL PHASE:
- Administration of local anesthesia, flap reflection. If a surgical guide or 3D printed guided stent is to be used, then the guide is secured on to the bone.
- Drilling (Osteotomy) of implant sites followed by placement.
- Verification of implant positions with a radiograph or volumetric image.
- Flap closure.
Soon after the surgery, a previously made denture is converted intra-orally into a temporary prosthesis over the implants. This remains in place until the definitive prosthesis is delivered.
PROSTHETIC PHASE (INTERMEDIATE AND FINAL):
- Open tray impression with splinted impression copings.
- Jig verification of the implant positions.
- Jaw relation verification.
- Bridge design using CAD-CAM technology.
- Fabrication of a zirconia bridge/DMLS metal-ceramic bridge (in partially edentulous)/ titanium framework.
- Trial and finishing.
- Final fixation in the mouth.
Conclusion:
Full mouth rehabilitation with implant-supported prostheses offers a more predictable treatment course than traditional restorations. Not only do they address all the shortcomings of the traditional dentures, they also offer a wide array of benefits and bring about an improvement in the overall comfort and health of the individual.


Maxilla
Mandible
Dental Implant
Abutment